Saman nezlesi nedeniyle hapşırma atağında, hapşırığını tutan bir adamın nefes borusunda delik açıldı.
Dünyada ilki yaşanan olayda, saman nezlesi olan bir adam araba kullanırken aniden karşı konulmaz bir hapşırma isteği hissetti. Genç adam hapşırmayı serbest bırakmak yerine burnunu sıkıştırıp ağzını kapatarak onu bastırdı. Şiddetli ağrılar içinde acil servise başvuran adamın, boynu her iki taraftan şişmişti ve onu hareket ettirmekte zorlanıyordu.
Doktorlar bunu incelediklerinde hafif bir çatırtı sesi de duyabiliyorlardı. Ancak adamın nefes almada, yutkunmada veya konuşmada herhangi bir sorunu yoktu.
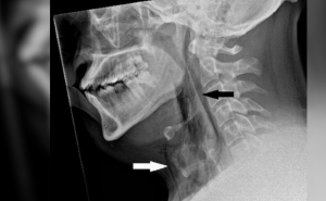
Boyun röntgeni, adamın cerrahi amfizem hastası olduğunu, yani havanın derinin altındaki en derin doku katmanlarının altında sıkıştığı bir durumu ortaya çıkardı.
Daha sonra bilgisayarlı tomografi (BT) taraması, yırtığın boynunun üçüncü ve dördüncü kemikleri veya omurları arasında olduğunu gösterdi. Göğüsteki akciğerler arasındaki boşlukta da hava birikmişti.
Yapılan tetkiklerde Hapşırma sırasında adamın nefes borusunda 0,08 inç x 0,08 inç (2 x 2 milimetre) boyutunda bir delik olduğu tespit edildi.
Doktorlar, yırtılmanın “burun kısılmış ve ağız kapalıyken hapşırma sırasında nefes borusunda hızlı bir basınç oluşmasından” kaynaklandığı sonucuna vardı.
Doktorlar adamın ameliyata ihtiyacı olmadığına karar verdi. Ancak oksijen seviyelerinin ve diğer hayati belirtilerinin sabit kalmasını sağlamak için iki gün boyunca hastanede izlendi. Daha sonra ağrı kesici ve saman nezlesi ilaçlarıyla verilerek taburcu edildi. Doktorlar ayrıca ona iki hafta boyunca herhangi bir yorucu fiziksel aktivite yapmamasını da söyledi.
Beş hafta sonra, CT taraması yapılan genç adamın yırtığın tamamen iyileştiği görüldü.

Hapşırma sırasında ağız ve burun kapalıysa üst solunum yollarında oluşan basınç normalde hapşırma sırasında oluşan basıncın 20 katını aşabilir.
Doktorlar, bunun başkaları için bir uyarı olması gerektiğini belirterek raporu, BMJ Vaka Raporları dergisinde yayınladı.
Yayınlanan vaka raporunda “Herkese, ağzı kapalı tutarken burnunu sıkıştırarak hapşırmayı bastırmaması tavsiye edilmelidir, çünkü bu trakeal [nefes borusu] delinmesine neden olabilir”
Nefes borusunun kendiliğinden yırtılması nadirdir ancak potansiyel olarak ölümcüldür.
Şimdiye kadar yalnızca birkaç vaka rapor edilmiştir ve bunlar genellikle fiziksel travma veya tiroid bezinin cerrahi olarak çıkarılması veya nefes borusuna bir tüpün yerleştirilmesi gibi tıbbi bir işlemin ardından meydana gelen yaralanmalardan kaynaklanmaktadır.
Vaka raporu yazarları, yırtığın nerede olduğuna ve hastanın yaşamsal belirtilerinin stabil olup olmadığına bağlı olarak, genellikle hasarı onarmak için ameliyat gerektiğini yazdı.
Hapşırırken bu tür yaralanmalara maruz kalmak elbette çok nadirdir, ancak görünüşe göre imkansız değildir.



















