Ana Sayfa Manşet Astım ya da KOAH ile karıştırılan ve henüz kesin bir tedavisi olmayan...

Astım ya da KOAH ile karıştırılan ve henüz kesin bir tedavisi olmayan İPF hastalığı

Dünya İPF Haftası

İPF’de erken teşhis ve doğru tedavi planlanması
hastalığın ilerlemesini yavaşlatıyor
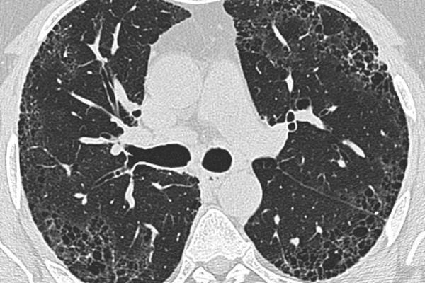
Dünya İPF Haftası nedeniyle bir açıklama yapan TÜSAD, belirtileri astım ya da KOAH ile karıştırılan bu hastalığa dikkat çekti. Akciğer sertleşmesi olarak bilinen İPF hastalığının henüz kesin bir tedavisi bulunmadığını belirten Prof. Dr. Oğuzhan Okutan, erken teşhis ve doğru tedavinin planlanması ile hastalığın ilerlemesinin yavaşlatılabildiğini vurguladı.

Akciğer sertleşmesi olarak bilinen İdiopatik Pulmoner Fibrozis (İPF) hastalığıyla ilgili küresel ölçekte farkındalığı arttırmak ve erken teşhis ve tedavinin önemini vurgulamak amacıyla bu yıl 16-22 Eylül tarihleri Dünya İdiopatik Pulmoner Fibrozis Haftası olarak belirlendi. Bu kapsamda bir açıklama yapan Türkiye Solunum Araştırmaları Derneği (TÜSAD), İPF hastalığıyla ilgili önemli uyarılarda bulundu.

TÜSAD Merkez Yönetim Kurulu Üyesi ve Difüz Parankimal Akciğer Hastalıkları ve Pulmoner Vasküler Hastalıklar Çalışma Grubu Başkan Yardımcısı Prof. Dr. Oğuzhan Okutan tarafından yapılan açıklamada, dünyada yaklaşık 3 milyon insanda görülen İPF hastalığının görülme sıklığının Türkiye’de ise son yapılan çalışmalarda yılda 100 binde 5 olduğu ifade ediliyor. İPF’nin erkeklerde kadınlara oranla daha sık görüldüğünü aktaran Prof. Dr. Okutan, “Hastalığın nedeni tam olarak bilinemese de yaşlılık, genetik yatkınlık, çevresel veya mesleki maruziyetler, bakteriyel veya viral enfeksiyonlar ve gastroözefageal reflü (GÖR) gibi etkenler risk faktörleri arasında yer alıyor. Sigara kullanımı da İPF’nin görülme sıklığını arttırıyor. Hastaların yüzde 60-75’inde sigara içme hikayesi bulunuyor” dedi.

BELİRTİLER NEFES DARLIĞI, KURU ÖKSÜRÜK VE ÇOMAK PARMAK

İPF’nin erken dönemde belirti vermeyebileceğini belirten Prof. Dr. Okutan, en sık görülen şikayetleri şöyle sıraladı: “Eforla gelişen nefes darlığı ve kuru öksürük, en sık görülen şikayetler oluyor. Nefes darlığı genellikle sinsi bir şekilde ortaya çıkıyor ve ilerliyor. Öksürük de genellikle kuru vasıfta ve inatçı özellik gösteriyor ve öksürük kesici ilaçlar etkisiz kalıyor. Hastalar bu şikayetlerin yaşlanmaya veya sigara kullanımına bağlı geliştiğini düşünüyor. Ayrıca, hastaların yüzde 30’unda parmak uçlarında genişleme de (çomak parmak) görülüyor. Bu şikayetlerin dışında halsizlik, güçsüzlük, iştahsızlık ve kilo kaybı da hastalığın diğer belirtileri arasında yer alıyor.”

ERKEN VE AYIRICI TANI BÜYÜK ÖNEM TAŞIYOR

İPF belirtilerinin astım ve KOAH (Kronik Obstrüktif Akciğer Hastalığı) gibi hastalıklarla karışmasına neden olabildiğine işaret eden Prof. Dr. Okutan, bu noktada ayırıcı tanının önemine dikkat çekti. Prof. Dr. Okutan, şu değerlendirmeyi yaptı: “İPF tanısı, hastalığın akciğerde oluşturduğu sertleşmeyi yapabilecek mesleki ve çevresel hastalıklar, ilaçlar, romatizmal hastalıklar gibi nedenler elendikten sonra görüntüleme yöntemlerinde İPF’ye özgü tipik bulguların görülmesiyle konuluyor. Tanıda detaylı öykü, fizik muayene, romatizmal hastalıkların dışlanması için bazı kan tahlilleri, gerek duyulması halinde romatoloji görüşü ve deneyimli radyoloji uzmanları tarafından yorumlanan yüksek çözünürlüklü akciğer tomografisi gibi yöntemler kullanılıyor. Tipik bulguların olmadığı durumlarda ise akciğer biyopsisine başvuruluyor. Hastalığın seyrinin takip edilmesinde de solunum fonksiyon testleri, altı dakika yürüme testi ve ekokardiyografi gibi testlerden de yararlanılıyor. Erken tanı sayesinde akciğer fonksiyonlarında ileri düzeyde kayıp ortaya çıkmadan tedaviye başlanabiliyor.”

İLAÇ GELİŞTİRME ARAŞTIRMALARI SÜRÜYOR

İlaç tedavisiyle sağ kalım süresinin uzatılabildiğini belirten Prof. Dr. Okutan, açıklamasını şöyle tamamladı: “İPF halen her ne kadar kesin olarak tedavi edilebilir bir hastalık olmasa da mevcut ilaçlarla hastalığın ilerlemesi yavaşlatılabiliyor ve son yıllarda radyolojik görüntüleme imkânlarının yaygınlaşması ile daha fazla tanı koyulabiliyor. Hastalığın doğru olarak tanısının konması ve uygun tedavinin verilmesi çok önemli. Bu hastaların İPF konusunda deneyimli merkezlerde multidisipliner şekilde değerlendirilmesi gerekiyor. Bu arada dünya çapında İPF’nin sebeplerini aydınlatmaya yönelik çalışmalar ve yeni ilaç geliştirme araştırmaları da bir yandan sürüyor.”

Please follow and like us: